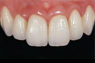
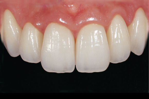
L'art se définit comme l'habileté jointe à la connaissance des moyens, et un chef-d'œuvre est un travail accompli et parfait en son genre. Chez CRH Oral Design, nous comprenons parfaitement ces concepts puisqu'ils s'appliquent tout à fait à notre gamme de restaurations dentaires Signature Élite®, les plus belles restaurations imaginables.
Inspiration
Depuis toujours, les artistes s'inspirent de l'harmonie de la nature. Chez CRH Oral Design, nous nous inspirons aussi de la nature quand nous créons une dent. Nos artistes étudient un problème sous tous ses angles et travaillent avec une perspective propre à la création de grands chefs-d'œuvre. Afin d'obtenir des résultats impeccables, notre équipe ne fait pas que traiter une dent, mais considère dans sa démarche le sourire dans son ensemble. Elle tient compte non seulement de la morphologie des dents et de la mâchoire, mais aussi celle du visage.
Savoir-faire
Pour créer un chef-d'œuvre, il faut plus que de l'inspiration : ça prend du savoir-faire, du métier, la maîtrise de son art. L'équipe Oral Design® s'applique continuellement à parfaire ses techniques en suivant des cours de formation professionnelle, tant cliniques que techniques. Nos techniciens versés en morphologie, physionomie et en céramiques sculptent avec brio chaque dent jusqu'à ce qu'elle soit absolument parfaite, sans quoi elle ne peut porter la marque Signature Élite®.
Technologie
Les récentes découvertes dans le domaine des céramiques accroissent considérablement les possibilités artistiques de la dentisterie. Notre ligne de services Signature Élite® profite au maximum des nouvelles technologies et des innovations en dentisterie cosmétique afin que chaque dent soit conçue et fabriquée selon les principes esthétiques harmonieux de la nature.
Notre approche systématique à notre art est un gage que chacun de nos chefs-d'œuvre Signature Élite® possède toutes les qualités d'un sourire naturel spectaculaire. Pour atteindre la perfection propre aux produits Signature Élite®, les restaurations dignes de ce nom sont fabriquées avec les systèmes e.max®, zircone, Procera®, IPS Empress® Esthetic, Oral-Press™ ou céramo-métalliques.
Notre professionnalisme, notre attention aux moindres détails et notre service hors-pair sauront satisfaire même les clients les plus exigeants.
Le dossier de chaque commande Signature Élite® doit comporter :
- Les mesures de la centrale, de l'épaulement jusqu'au bout incisif
- Le modèle des temporaires approuvé par le patient
- Le modèle initial
- Un modèle opposé (sans bulle ni dent brisée)
- Une empreinte de l'arcade complète
- La catégorie de sourire désiré
- La teinte désirée
- Des photos/diapositives
- La teinte de préparation pour les restaurations en céramique (stump shade)
- Un enregistrement d'occlusion (en mordu)
- Un arc facial (stick-bite)



